Case Study: Teamwork is the Key to Matching Single Central
Posted Nov 18, 2011 in Technical
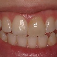
A new female patient was disappointed in her crown on #9, and had been told by another dentist it was the best result she could expect. Although diagnostic waxups aren't commonly done for a single central, they are part of Morris and Dr. Arnold's routine and key to the success of this case. After studying the waxup model, which actually was a reduction carving of tooth #9, they decided that Dr. Arnold would have to bond the mesial of tooth #10. This allowed the fabrication of a new crown that would not only match the contra-lateral tooth in shade and texture, but also in size and contour.
As he does for all single central cases, and often for matching anterior teeth in general, Morris fabricated two all-ceramic feldspathic crowns with slightly different shading. After the first try-in, he and Dr. Arnold studied photos of the one that matched best, and discussed changes to get an even better result.
Morris then fabricated two more restorations, changing the opacity and...


