Ceramco® Press Porcelain Pressed-to-Metal
Posted Apr 28, 2011 in Technical
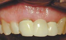
RESTORATIVE CHALLENGE: A healthy, middle-aged business woman presented for evaluation of a bridge, teeth #8-10, with a fractured distal incisal angle and metal margins (see Figure 1). Though generally satisfied with the 20-year-old restoration, she wanted to replace it with a more esthetic restoration.
Clinical and radiographic findings fell within normal limits. An esthetic assessment by Dr. Ewoldsen revealed nothing unusual beyond a high smile line, which was acceptable to the patient provided metal display at the margin could be eliminated. The esthetic liabilities of an existing mandibular anterior bridge were not expected to compromise the occlusion, esthetics or function of the new maxillary bridge.
Restorative team: Robert Michael, CDT, manager of technical resources, Dentsply Prosthetics, Burlington, New Jersey, and Nels Ewoldsen, DDS, clinical director, Dentsply Prosthetics, York, Pennsylvania
Treatment...

