Goodbye Grillz, Hello Diamond
Posted May 16, 2023 in Labs & Profiles
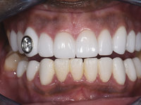
Ceramists Brent Wulfenstein and Thiel Bench, Utah Valley Dental Lab, Lindon, UT, helped a patient—a rapper known for his flashy 20-unit permanent diamond grillz—get a fresh look with a full mouth reconstruction featuring a diamond on tooth #6.
The patient—a rapper known for his flashy 20-unit permanent diamond grillz—wanted a fresh new look. The patient and Drs. Debra Gray King and Brett Reeve, Atlanta Center for Cosmetic Dentistry in Atlanta, chose a smile makeover consisting of 20 single GC Initial® LiSi Press crowns on teeth #4-13 and #20-29. The patient also had a special request: a diamond “as big as we could fit” on tooth #6.
The full coverage grillz were individual metal units that had been cemented over the natural teeth; they were very bulky and there was no occlusal anatomy, guidance or function built into the design. The challenge in the diagnostic phase was trying to accurately guess how thick the...


