How to Deliver a Full-Mouth Esthetic Makeover in One Week
Posted Nov 02, 2017 in Technical
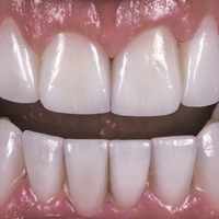
Using IPS e.max Press from Ivoclar Vivadent and traditional press, stain and glaze techniques, Steve Lee was able to turn on a dime and deliver a full-mouth, highly esthetic makeover in one week.

Restorative Challenge
A male patient in his mid-50s presented in desperate need of a “Hollywood Smile Makeover” completed in one week due to his busy schedule. A movie actor, his chief complaints were the dark orange discoloration, overall malalignment and functional occlusion problems (i.e., deep bite) of his teeth.
Treatment Plan
Conservative treatment options were discussed with the patient. However, due to his extremely sensitive teeth, he couldn’t...


