How to Fabricate Multiple Prostheses in One Work Session Using inLab Software 15.0
Posted Nov 25, 2015 in Technical
Restorative Challenge
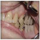
I received a prescription from a local dentist requesting a three-unit monolithic zirconium bridge to replace the first bicuspid on the patient’s right side. Tooth #3 and tooth #6 would be the abutments for this prosthesis. Tooth #4 had been removed several years ago and, due to drifting, there was no longer space for it.
The doctor requested a distal rest to be placed on tooth #3 along with a cingulum rest on tooth #6. Once the bridge was cemented, he intended to re-impress the maxillary arch for the construction of removable partial dentures (RPD) for both arches.

