How to Use GC Initial™ LiSi Press Ceramic for a Single Anterior Crown
Posted Nov 28, 2016 in Technical
Luke Kahng, CDT, demonstrates how he uses the new GC Initial LiSi Press Ceramic Ingot for a color-critical case. To learn more about GC Initial LiSi Press, click here.
Restorative Problem/Treatment Plan:
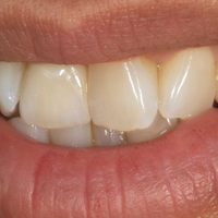
A male patient in his mid-30s wanted a new, more esthetic crown on tooth #8 which had previously been endontically treated and crowned. Since this was an anterior restoration, shade matching—especially to tooth #9—was critical. The patient presented with a dark stump color on his prepped tooth; to achieve the best esthetics, the dentist, Dr. Robert Kruerer, Evanston, IL, and I decided to use the new GC LiSi LT Press Ingot.


