How to Create Vitality in Zirconia Restorations
Posted Nov 17, 2011 in Technical
January 2012--
This case study- co-authored with Andrew Maples, RDT, and Heather Crouch- exemplifies the vital results that can be achieved using the latest CAD/CAM technology and a new-generation zirconia material.
To meet the growing demand for zirconia restorations, manufacturers are developing more esthetically pleasing materials that help the technician overcome the inherent opaque nature of zirconium dioxide. This case study exemplifies the vital results that can be achieved using the latest CAD/CAM technology and a new-generation zirconia material.
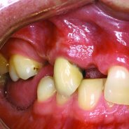
Restorative Challenge
A 47-year-old male presented with an existing flipper replacing #4, #5 and #7. He hoped to get a more natural-looking, fixed prosthesis. In addition, he was unhappy with the esthetics of his crown on #6 as well as the deep overbite and rounded appearance of his front teeth. He opted for a bridge from #3 to #8 and a crown on #9 to correct these issues.



