How to Fabricate a Telio® CAD Provisional Bridge
Posted Apr 28, 2011 in Technical
Steven Pigliacelli, CDT, Joshua Marotta, CDT, and Mark Hartslief from Marotta Dental Studio, Inc. in Farmingdale, New York, offer a step-by-step explanation of how they fabricated a four-unit Telio CAD provisional bridge for their client, Dr. Chris Salierno:
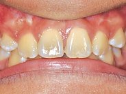
The dentist prepared four teeth for a four-unit, anterior splinted bridge (see Figures 1 and 2).
Treating it as a standard crown and bridge case, the lab poured the models using type III die stone and subsequently pindexed and trimmed the dies (see Figure 3). The models were mounted on an articulator and polyvinyl bite indexes were made prior to scanning.
The lab placed the models onto the NobelProcera scanner. Previously, the lab could only fabricate Procera zirconia or alumina copings with this scanner but thanks to a new interface, it can now use the Telio material; IPS e.max CAD will be available as a material option...

