Print-to-Press Technology: A Creative Workf low Meets Cosmetic Demands
Posted Aug 17, 2021 in Technical
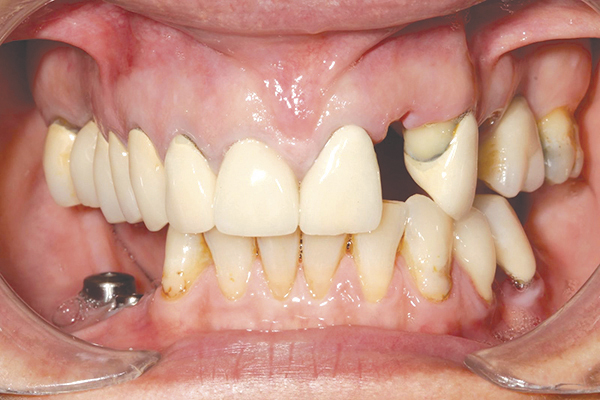
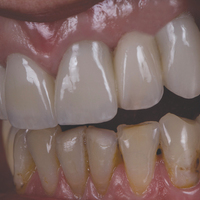
Advancements in digital technologies and materials and the myriad choices between analog and digital production modalities allow laboratory owners to be creative and use highly versatile workflows. For example, during peak production times when the model, waxing or milling departments are busy, caseloads can be diverted to the 3D printer for models, copings or printed structures for pressing.
This case demonstrates the integration of analog and digital workflows with IPS e.max and how the print-to-press workflow is a viable option to keep production running smoothly while maintaining high quality and meeting the esthetic expectations of clients and patients.


