Simplicity with IPS e.max Multi: How to Balance Esthetics with Strength
Posted Mar 19, 2015 in Technical
While technology has played a major role in transforming the industry in the past 10 years, materials have also had an industry-altering impact. We’ve moved from traditional lower-strength ceramics to the next generation of high-strength ceramics.
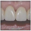
Although balancing esthetic outcomes and fulfilling the doctor’s desires for the most robust restorations has been a challenge, we’ve seamlessly integrated the new IPS e.max Multi from Ivoclar Vivadent into our daily workflow. It’s a 400MPa lithium disilicate pressing ingot featuring a graduated level of shade and translucency, with chroma and opacity higher in the cervical and dentin regions, and more translucency in the incisal areas. This material gives us the ability to produce units as quickly and economically as traditional monolithic IPS e.max. The only difference in the processing method is the investment base. The variations of the spruing technique also give us the ability to easily control the shade...


