
November/December 2013
Browse all the articles from the November/December 2013 issue of LMT magazine below.

10 Ways to Protect Your Profitability
It's a perfect storm heading straight for your bottom line: the economic crisis, new technology, profit erosion, offshore competition and the changing demographics among your dentist-clients...
Becky Tyre
Event Marketing/Content Manager at LMT Communications, Inc. · Newtown, CT
Read More 6 minute read
3D BioCAD Zirconia From 3D BioCAD
DENTAL TEAM: Gyu Cho, CDT, 3D BioCAD Milling Center, Renton, WA and Dr. Ronald Bryant, Seattle
RESTORATIVE PROBLEM: The patient presented with severe occlusal wear on his natural teeth; the lower anterior teeth were also very crooked and discolored. The existing crowns also exhibited wear,...
Full Contour Zirconia Case Studies
Series · 10 articles
Read More 1 minute read
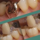
BruxZir® Solid Zirconia From Glidewell Laboratories
DENTAL TEAM: Cindy Vuong and Dr. Michael DiTolla, both of Glidewell Laboratories, Newport Beach, CA
RESTORATIVE PROBLEM: The patient presented with a pre-existing discolored PFM restoration on tooth #8.
TREATMENT PLAN: Dr. DiTolla prescribed a full contour BruxZir® crown,...
Full Contour Zirconia Case Studies
Series · 10 articles
Read More 1 minute read
CAD/CAM Gamble Pays Off for Small Lab
Last year, Bob Iuliano, CDT, invested about $80,000 in CAD/CAM equipment—and he hasnât looked back since.
Kim Molinaro
Managing Editor at LMT Communications, Inc. · West Hartford, CT
Read More 3 minute read
Crystal Diamond Zirconia From Dental Laboratory Milling Supplies
DENTAL TEAM: Scott Atkin, Creative Dental Laboratory and Dr. Michael Foley, both in Scottsdale, AZ
RESTORATIVE PROBLEM: A 79-year-old male patient with an existing PFM full mouth rehab needed a classic A3 shade replacement bridge for teeth #11 through #15.
TREATMENT PLAN: A...
Full Contour Zirconia Case Studies
Series · 10 articles
Read More 1 minute read
Delta Zirconia From Aurident, Inc.
DENTAL TEAM: Ken Upright, Oxford Crown & Bridge, LLC and Dr. Shelley Olson, DDS, FICD, Granville Family Dentistry, both in Oxford, NC
RESTORATIVE PROBLEM: A female patient fractured the entire facial surface and buccal cusp of tooth #4, which had an old MOD amalgam restoration. Due...
Full Contour Zirconia Case Studies
Series · 10 articles
Read More 1 minute read
KATANA Zirconia ML From Kuraray Noritake Dental
DENTAL TEAM: Kazunobu Yamada, RDT, Cusp Dental Supply Co., Ltd., Nagoya, Japan and Dr. Yoshihiko Mutobe, Mutobe Dental Clinic, Osaka, Japan
RESTORATIVE PROBLEM: The patient had a full cast crown on tooth #30 but wanted a more esthetic appearance.
TREATMENT PLAN: The dental team...
Full Contour Zirconia Case Studies
Series · 10 articles
Read More 1 minute read
Kuraray America, Inc.: a Synergy of Art and Science Strengthens Product Line
In April 2012, Noritake Dental Supply Co., Ltd. integrated with Kuraray Medical Inc. to form Kuraray Noritake Dental Inc.; the U.S. representative of Noritake products is now Kuraray America, Inc. Both headquartered in Japan, Kuraray Medical is renowned for its dental adhesives and cements--including...
LMT Communications, Inc.
Company
Read More 1 minute read
Life Regrets
It’s inevitable that there’ll be things in our lives we wish we’d have done differently. Regret has value if, instead of dwelling on lost opportunity, it brings about change.
Last month, at the Dr. Edward B. Shils Entrepreneurial Fund Awards reception in Philadelphia (see details on...
Judy Fishman
CEO/Publisher at LMT Communications, Inc. · Newtown, CT
Read More 2 minute read
ORIGIN® LIVE Plus™ Full Contour Zirconia From B&D
DENTAL TEAM: Scott Gallacher, Precision Milling Center, West Valley City, UT, and Steven Barker, DDS, Salt Lake City, UT
RESTORATIVE PROBLEM: The patient was missing a second bicuspid (#12), didn't want an implant crown and was also concerned about the reduction of the adjacent healthy teeth.
TREATMENT...
Full Contour Zirconia Case Studies
Series · 10 articles
Read More 1 minute read
Prettau® Zirconia From Zirkonzahn
DENTAL TEAM: Manfred Pörnbacher and Clemens Schwerin, Dentallabor Steger, Brunico, Italy and Dr. Lyndon Cooper, Professor and Chair at the University of North Carolina, School of Dentistry, Department of Prosthodontics
RESTORATIVE PROBLEM: A young female patient lost teeth #7 through...
Full Contour Zirconia Case Studies
Series · 10 articles
Read More 2 minute read
Strategy Milling® Offers Milled Gold Restorations
I've been traveling around the country this season and have visited a number of laboratories, manufacturers and educational institutions. As I was passing through Pennsylvania, I stopped to visit Strategy Milling. ~Judy Fishman, Publisher, LMT
Judy's Amazing Road Trip
Series · 9 articles
Read More 2 minute read
Whip Mix's Survive Or Thrive Forum: 6 Reasons to Go Digital
Whip Mixâs second annual Survive or Thrive Digital Forum was chock-full of advice and take-home strategies to help attendees make informed decisions about digital technology.
Maribeth Marsico
Senior Editor at LMT Communications, Inc. · Cheshire, CT
Read More 4 minute read
Whip Mix Corp. recommends thisZenostar Zr From Ivoclar Vivadent
DENTAL TEAM: Janet Jones, CDT, Technical Consultant, Ivoclar Vivadent and Jenny Sy-Munoz, DDS, MSD, University at Buffalo, Buffalo, NY
RESTORATIVE PROBLEM: A 36-year-old patient presented with a request to have teeth #30 and #31 restored as recommended by his general dentist. These molars...
Full Contour Zirconia Case Studies
Series · 10 articles
Read More 1 minute read
ZircoStar Zirconia From Kerox
DENTAL TEAM: Dr. William Roddy and in-house technician Steve Coles, Flow Laboratory, Fort Worth, TX
RESTORATIVE PROBLEM: A 62-year-old female presented with implants on teeth #3, #4 and #5 and a PFM bridge placed by another dentist. The implants had been placed too far buccally and the...
Full Contour Zirconia Case Studies
Series · 10 articles
Read More 1 minute read
Zirlux FC2 From Zahn Dental
DENTAL TEAM: Sven Jesse, Jesse & Frichtel Dental Labs and Dr. Edward Narcisi, DMD, both of Pittsburgh, PA
RESTORATIVE PROBLEM: The patient—the wife of one of the laboratory owners--had an existing all-ceramic restoration on tooth #30 that cracked (she had previously had a PFM...
Full Contour Zirconia Case Studies
Series · 10 articles
Read More 1 minute read







