3D pro multilayer zirconia
Posted May 10, 2019 in Product News
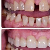
Bloomden Bioceramics. makes 3D pro multilayer zirconia blocks with strength up to 1100mpa and translucency up to 49%.it is prefered to make anterior and posterior for full arch at excellent aesthetic color degradation without porcelain.
